PATOLOGIAS PERIAPICAISComo consequência da necrose pulpar, modanças patológicas ocorrem nos tecidos periapicais. Em contraste com a polpa, os tecidos periapicais apresentam células indiferenciadas que participam na inflamação bem como na reparação. A interação entre os irritantes provenientes do canal e a resposta do hospedeiro resulta na ativação de uma ordem extensa de reações para proteger o hospedeiro. Alguma dessa reações pode provocar reabsorção do osso periapical.
A reabsorção óssea fornece uma separação entre os irritantes e o osso, prevenindo, a osteomielite.Osteomielite: é um processo inflamatório agudo ou crônico do tecido ósseo, produzido por bactérias piogênicas (isto é, produtoras de pus).
Dependendo da gravidade da irritação, da duração e da resposta do hospedeiro, as lesões periapicais podem variar desde uma inflamação suave até a destruição tecidual extensa. As reações envolvidas são complexas e guiadas por mediadores químicos da inflamação, bem como por reações imunes específicas.
CLASSIFICAÇÃO DAS LESÕES PERIAPICAISAs lesões periapicais foram classificadas com base em seus achados clínicos e histológicos. Assim como a doença pulpar existe pouca correlação entre os sinais clínicos e sintomas e a duração das lesões, se comparados com os achados histopatológicos.
Essas lesões são classificadas em 6 grupos principais:
- Tecidos periapicais normais
- Periodontite apical (aguda) sintomática
- Periodontite apical (crônica) assintomática
- Osteíte condensante
- Abscesso apical agudo
- Abscesso apical crônico
Lesões sintomáticas são denominadas agudas.
Lesões associadas a sintomas discretos ou assintomáticas são chamadas de crônicas.
Tecidos Periapicais NormaisO dente possui tecidos periapicais normais e não mostra sensibilidade alterada a percussão e palpação.
Os dentes nessa categoria apresentam lâmina dura e tecidos periodontais normais.
Periodontite Apical Sintomática ( Periodontite apical aguda)
Etiologia:
A primeira extensão da inflamação pulpar para os tecidos periapicais é chamada de periodontite apical aguda.
Irritantes que dão origem a lesão:
- Mediadores inflamatórios oriundos da inflamação pulpar irreversível
- Toxinas bacterianas oriundas das polpas necrosadas
- Substâncias químicas (agentes desinfectantes ou irrigantes)
- Restaurações em contato oclusal prematuro
- Sobreinstrumentação do canal radicular
- Extravasamento de materiais obturadores
A polpa pode estar com inflamação irreversível ou necrosada.
Sinais e Sintomas:
Desconforto espontâneo de moderado a severo, assim como dor a mastigação ou a percussão.
A reabsorção óssea fornece uma separação entre os irritantes e o osso, prevenindo, a osteomielite.Osteomielite: é um processo inflamatório agudo ou crônico do tecido ósseo, produzido por bactérias piogênicas (isto é, produtoras de pus).
Dependendo da gravidade da irritação, da duração e da resposta do hospedeiro, as lesões periapicais podem variar desde uma inflamação suave até a destruição tecidual extensa. As reações envolvidas são complexas e guiadas por mediadores químicos da inflamação, bem como por reações imunes específicas.
CLASSIFICAÇÃO DAS LESÕES PERIAPICAISAs lesões periapicais foram classificadas com base em seus achados clínicos e histológicos. Assim como a doença pulpar existe pouca correlação entre os sinais clínicos e sintomas e a duração das lesões, se comparados com os achados histopatológicos.
Essas lesões são classificadas em 6 grupos principais:
- Tecidos periapicais normais
- Periodontite apical (aguda) sintomática
- Periodontite apical (crônica) assintomática
- Osteíte condensante
- Abscesso apical agudo
- Abscesso apical crônico
Lesões sintomáticas são denominadas agudas.
Lesões associadas a sintomas discretos ou assintomáticas são chamadas de crônicas.
Tecidos Periapicais NormaisO dente possui tecidos periapicais normais e não mostra sensibilidade alterada a percussão e palpação.
Os dentes nessa categoria apresentam lâmina dura e tecidos periodontais normais.
Periodontite Apical Sintomática ( Periodontite apical aguda)
Etiologia:
A primeira extensão da inflamação pulpar para os tecidos periapicais é chamada de periodontite apical aguda.
Irritantes que dão origem a lesão:
- Mediadores inflamatórios oriundos da inflamação pulpar irreversível
- Toxinas bacterianas oriundas das polpas necrosadas
- Substâncias químicas (agentes desinfectantes ou irrigantes)
- Restaurações em contato oclusal prematuro
- Sobreinstrumentação do canal radicular
- Extravasamento de materiais obturadores
A polpa pode estar com inflamação irreversível ou necrosada.
Sinais e Sintomas:
Desconforto espontâneo de moderado a severo, assim como dor a mastigação ou a percussão.
Se a periodontite for uma extensão da pulpite, os sinais e sintomas irão incluir a sensibilidade ao frio, ao calor e ao teste elétrico.
Casos de periodontites apical aguda causadas por necrose não respondem aos testes térmicos. A aplicação de pressão digital ou a percussão com o cabo de um espelho clínico podem causar uma exacerbação da dor.
Periodontite Apical Aguda - microbiana
fonte: www.endo-e.com
Periodontite apical aguda - traumática
fonte: www.endo-e.com
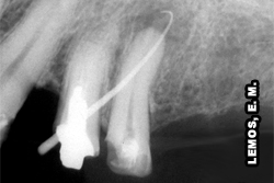
A Periodontite apical aguda, pode ou não estar associada a uma área radiolúcida periapical.
O “espessamento” do espaço correspondente ao ligamento periodontal pode ser um achado radiográfico da Periodontite Apical Aguda.
Entretanto, normalmente esse espaço apresenta-se normal e a lâmina dura, intacta.
Tratamento:Ajuste da oclusão ( quando existe evidência de supraoclusão)
Remoção de irritantes ou de uma polpa patológica, ou a liberação de exsudato periapical geralmente resultam em alívio.
Periodontite Apical Assintomática ( crônica)Resulta da necrose pulpar e geralmente é uma sequela da Periodontite Apical Aguda.
Sinais e Sintomas:Por definição é uma condição clínica assintomática de origem pulpar que está associada a inflamação e destruição dos tecidos periapicais.
Como a polpa está morta, não responde a testes térmicos ou elétricos.
A percussão provoca pouca ou nenhuma dor.
Pode haver leve sensibilidade a palpação, indicando uma alteração das tábuas ósseas corticais e extensão da Periodontite apical crônica para os tecidos moles.
Radiograficamente variam desde uma interrupção da lâmina dura até a destruição extensa dos tecidos periapicais e inter-radiculares.
Características Histológicas:Histologicamente são classificadas como granulomas ou cistos.
Casos de periodontites apical aguda causadas por necrose não respondem aos testes térmicos. A aplicação de pressão digital ou a percussão com o cabo de um espelho clínico podem causar uma exacerbação da dor.
Periodontite Apical Aguda - microbiana
fonte: www.endo-e.com
Periodontite apical aguda - traumática
fonte: www.endo-e.com
A Periodontite apical aguda, pode ou não estar associada a uma área radiolúcida periapical.
O “espessamento” do espaço correspondente ao ligamento periodontal pode ser um achado radiográfico da Periodontite Apical Aguda.
Entretanto, normalmente esse espaço apresenta-se normal e a lâmina dura, intacta.
Tratamento:Ajuste da oclusão ( quando existe evidência de supraoclusão)
Remoção de irritantes ou de uma polpa patológica, ou a liberação de exsudato periapical geralmente resultam em alívio.
Sinais e Sintomas:Por definição é uma condição clínica assintomática de origem pulpar que está associada a inflamação e destruição dos tecidos periapicais.
Como a polpa está morta, não responde a testes térmicos ou elétricos.
A percussão provoca pouca ou nenhuma dor.
Pode haver leve sensibilidade a palpação, indicando uma alteração das tábuas ósseas corticais e extensão da Periodontite apical crônica para os tecidos moles.
Radiograficamente variam desde uma interrupção da lâmina dura até a destruição extensa dos tecidos periapicais e inter-radiculares.
Características Histológicas:Histologicamente são classificadas como granulomas ou cistos.
Um granuloma periapical consiste em tecido granulomatoso infiltrado por mastócitos, macrófagos, linfócitos, plasmócitos e, ocasionalmente, leucócitos PMN. Células gigantes multinucleadas, células espumosas, cristais de colesterol e epitélio são frequentemente encontrados.
O cisto periapical (radicular) possui uma cavidade central preenchida por fluido eosinofilico ou material semissólido e é revestido por epitélio escamoso estratificado.O epitélio é circundado por um tecido conjuntivo que contém todos os elementos encontrados no granuloma periapical. Logo, um cisto periapical é um granuloma que contém uma ou algumas cavidades revestidas por epitélio. A origem do epitélio é o remanescente da bainha epitelial de Hertwig, os restos epiteliais de Malassez. Tais restos celulares proliferam sob estímulos inflamatórios. A origem real do cisto não está clara.
Tratamento:Remoção de agentes irritantes desencadeadores (polpa necrosada) e a obturação completa do sistema de canais radiculares geralmente resultam na resolução da lesão.
Osteite CondensanteÉ uma variante da periodontite apical crônica, representa um aumento no osso trabecular em resposta a uma irritação persistente.
Geralmente é encontrado ao redor de dentes ínfero-posteriores, os quais apresentam inflamação pulpar ou necrose como causa provável.
Contudo pode associar com o ápice de qualquer dente.
Sinais e Sintomas:Dependendo da causa (pulpite ou necrose), pode ser assintomática ou sintomática.
Radiograficamente, a presença de uma radiopacidade difusa disposta de forma concêntrica ao redor da raiz é patognomônica.
Patognomônico: sinal ou sintoma tido como característico de uma doençaAurélio.
O tratamento endodôntico quando indicado, pode resultar na resolução completa da osteíte condensante.
Abscesso Dento-Alveolar agudo (Abscesso perirradicular agudo)Consiste em uma lesão liquefativa localizada ou difusa de origem pulpar que destrói os tecidos periapicais e é uma resposta inflamatória acentuada aos irritantes microbianos e não bacterianos oriundos da polpa necrosada.
*Liquefazer: tornar-se líquido, reduzir-se ao estado líquido Dicionário Aurélio.
Sinais e sintomas:É caracterizado por aparecimento rápido e dor espontânea.O cisto periapical (radicular) possui uma cavidade central preenchida por fluido eosinofilico ou material semissólido e é revestido por epitélio escamoso estratificado.O epitélio é circundado por um tecido conjuntivo que contém todos os elementos encontrados no granuloma periapical. Logo, um cisto periapical é um granuloma que contém uma ou algumas cavidades revestidas por epitélio. A origem do epitélio é o remanescente da bainha epitelial de Hertwig, os restos epiteliais de Malassez. Tais restos celulares proliferam sob estímulos inflamatórios. A origem real do cisto não está clara.
Tratamento:Remoção de agentes irritantes desencadeadores (polpa necrosada) e a obturação completa do sistema de canais radiculares geralmente resultam na resolução da lesão.
Osteite CondensanteÉ uma variante da periodontite apical crônica, representa um aumento no osso trabecular em resposta a uma irritação persistente.
Geralmente é encontrado ao redor de dentes ínfero-posteriores, os quais apresentam inflamação pulpar ou necrose como causa provável.
Contudo pode associar com o ápice de qualquer dente.
Sinais e Sintomas:Dependendo da causa (pulpite ou necrose), pode ser assintomática ou sintomática.
Radiograficamente, a presença de uma radiopacidade difusa disposta de forma concêntrica ao redor da raiz é patognomônica.
Patognomônico: sinal ou sintoma tido como característico de uma doençaAurélio.
O tratamento endodôntico quando indicado, pode resultar na resolução completa da osteíte condensante.
Abscesso Dento-Alveolar agudo (Abscesso perirradicular agudo)Consiste em uma lesão liquefativa localizada ou difusa de origem pulpar que destrói os tecidos periapicais e é uma resposta inflamatória acentuada aos irritantes microbianos e não bacterianos oriundos da polpa necrosada.
*Liquefazer: tornar-se líquido, reduzir-se ao estado líquido Dicionário Aurélio.
Geralmente apresentam desconforto moderado a grave e/ou aumento de volume.
Quando o abscesso está confinado ao osso, geralmente não há tumefação. Além disso, eles ocasionalmente apresentam manifestações sistêmicas de um processo infeccioso, tais como febre alta, mal-estar e leucocitose.
Como ocorre apenas em associação com polpa morta, a resposta é negativa para testes térmicos e elétricos. Entretanto geralmente são dolorosos a palpação e percussão.
Dependendo do grau de destruição dos tecidos duros afetados pelos irritantes, as características radiográficas variam entre nenhuma alteração no espaço correspondente ao ligamento periodontal, alargamento desse espaço ou até uma lesão radiolúcida óbvia.
Características Histológicas:O exame histológico de um abscesso perirradicular agudo geralmente revela uma lesão destrutiva localizada de necrose liquefativa contendo numerosos leucócitos PMN desintegrados, resíduos e remanescentes celulares e um acúmulo de exsudato purulento.
Notavelmente o abscesso geralmente não se comunica diretamente com o forame apical; assim, frequentemente um abscesso não irá drenar através de um dente com cavidade pulpar exposta.
Tratamento:A remoção das causas subjacentes, a liberação da pressão osmótica (drenagem, quando possível) e o tratamento endodôntico de rotina levam a resolução da maior parte dos casos.
Abscesso Dento-alveolar Crônico (Abscesso Perirradicular Crônico)Consiste em uma lesão inflamatória de origem pulpar que é caracterizada pela presença de uma lesão de longa duração que resultou em um abscesso que está drenando para uma superfície mucosa (fístula) ou cutânea.
*Fístula: Lesão congênita ou adquirida em que se comunicam, por meio de canal por onde transita matéria, duas cavidades orgânicas ou uma cavidade orgânica e o meio exteriorDicionario Aurélio
Etiologia:Resulta da necrose pulpar e geralmente está associada a uma periodontite apical crônica que formou um abscesso. O abscesso caminhou por meio do osso e do tecido mole para formar um trajeto fistuloso com abertura na mucosa oral, ou, algumas vezes, na pele da face.
Também podem drenar através do periodonto pelo sulco periodontal e dessa maneira pode mimetizar um abscesso periodontal ou uma bolsa periodontal.
Sinais e Sintomas:Quando a drenagem ocorre, o abscesso perirradicular crônico é assintomático, exceto quando existe um fechamento do trajeto fistuloso, o que pode causar dor. Os achados clínicos, histopatológicos e radiográficos são semelhantes a sua forma aguda. Uma característica adicional é a fístula.
Nenhum comentário:
Postar um comentário